后槽牙后面的肉发白溃烂图片
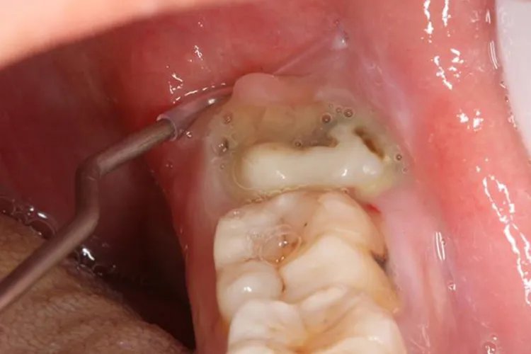
的有关信息介绍如下:概述后槽牙后面的肉发白溃烂,局部组织发红,表面凹陷,伴疼痛。可遵医嘱给予药物治疗。后槽牙后面的肉发白溃烂考虑可能是牙龈处溃疡,或牙龈炎、智齿冠周炎引起。症状后槽牙后面的肉发白溃烂,临床考虑可能是牙龈处溃疡、牙龈炎、智齿冠周炎等造成,具体症状如下所示:牙龈处溃疡在牙龈上出现单个或多个的溃疡,严重者范围更大,溃疡一般呈圆形或椭圆形,周围组织有红晕,表面凹陷,局部疼痛,伴灼热、疼痛等。重型溃疡周边红肿隆起,基底较硬,表面有灰黄色假膜或灰白色坏死组织。

牙龈炎牙龈炎患者由于局部组织水肿,龈缘变厚,不再紧贴牙面,龈乳头变的圆钝肥大,有时可呈球状增生,甚至可覆盖部分牙面。少数患者的牙龈炎症严重时,可出现龈缘糜烂或有肉芽增生。

智齿冠周炎急性智齿冠周炎末期未彻底治愈可转变为慢性过程,临床表现为冠周软组织轻度水肿,龈袋内可有少量脓性分泌物,出现溃烂。如果发生在面颊部可有慢性瘘管形成,瘘管口会有红色的肉芽组织,全身可伴有低热。

病因牙龈处溃疡病因尚不明确,存在明显的个体差异,可能与遗传、免疫、感染、系统性疾病、精神、环境等因素有关,是多种因素综合作用的结果。牙龈炎牙菌斑是牙龈炎的诱因,牙石、食物嵌塞、不良修复体、牙错位拥挤、口呼吸等因素均可促进菌斑的积聚,引发或加重牙龈的炎症。智齿冠周炎智齿牙冠部覆盖牙龈在咀嚼食物时易损伤,咀嚼食物时牙对牙龈组织造成创伤,局部防御屏障被破坏,引起冠周感染。此外,上呼吸道感染、睡眠不足、过度疲劳、妇女月经期及其他原因使机体抵抗力下降时,均易引起冠周炎发作,致病菌多为葡萄球菌和链球菌及其他口腔细菌。治疗牙龈溃疡可以使用冰硼散、西瓜霜等散剂局部涂布,或使用复方硼砂含漱液、复方氯己定含漱液等含漱。如果疼痛明显还可以使用利多卡因凝胶、苯佐卡因凝胶等涂抹溃疡面,以达到止痛目的。利用激光、微波等治疗仪或口内紫外线照射也能够减少渗出,促进愈合。牙龈炎可通过洁治术彻底清除菌斑、牙石,消除造成菌斑滞留和局部刺激的因素,1周左右牙龈的炎症即可消退,结缔组织中胶原纤维新生,牙龈的色、形、质可完全恢复正常。对于牙龈炎症较重的患者,可配合局部药物治疗,常用的局部药物有过氧化氢等。智齿冠周炎需及时就医使用抗生素控制感染,同时可用过氧化氢溶液及生理盐水或其他灭菌溶液冲洗盲袋。炎症消除后可进行冠周龈瓣楔形切除术或拔除治疗。



